¿Quieres recibir notificaciones de alertas?

Cayó "mula" con más de 100 cápsulas en la panza

Fueron detenidas otras cuatro personas, todas integrantes de una banda de narcotraficantes internacional que tenía como destino final la ciudad de Madrid. Mirá por qué cayeron.
Martes, 12 de marzo de 2013 a las 18:05

Un hombre que llevaba en su estómago 105 cápsulas de cocaína fue detenido en el aeropuerto internacional de Ezeiza junto a otras cuatro personas, informaron fuentes policiales a Online-911. Se trata de un ciudadano argentino domiciliado en la localidad bonaerense de Glew y se encuentra internado en el Hospital Zonal “Alberto Antranik Eurnekian” de ese partido.

La investigación comenzó hace tres meses cuando los investigadores de la Superintendencia de drogas peligrosas de la Policía Federal dieron con una banda integrada por personas de nacionalidad colombiana y dominicana, que reclutaban a argentinos de escasos recursos con la finalidad de usarlos como “mulas” humanas para llevar cocaína a España.

Le pidió al juez ir al baño porque tenía cocaína en los intestinos ACÁ


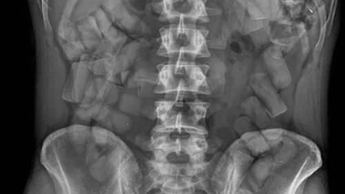
Una vez recabada la cantidad necesaria de pruebas, aprovechando el conocimiento de que ayer se enviaría un cargamento de droga, se intervino con el personal de la División Operaciones Metropolitanas con auxilio de un equipo de rayos “X” denominado “Body Scan”. Aunque sabían que contendrían envoltorios de cocaína dentro de su cuerpo, los efectivos se vieron sorprendidos al observar la gran cantidad de cápsulas, ya que están acostumbrados a un número menor.

Tras la detención de la "mula", el juez ordenó ayer por la tarde allanar cuatro domicilios en el barrio porteño de Constitución, resultando la detención de tres mujeres y un hombre integrantes de la organización.

12 de marzo de 2013

PUBLICIDAD
PUBLICIDAD
PUBLICIDAD
PUBLICIDAD